Le programme ROSIRIS
Comment mieux identifier et prévenir les effets secondaires consécutifs à une radiothérapie, l’une des principales techniques de traitement du cancer ? Pour donner des éléments de réponse à cette question, l’IRSN a lancé en 2009 l'ambitieux programme de recherche ROSIRIS*. Son objectif est d’acquérir de nouvelles connaissances fondamentales sur les principaux mécanismes physiques et biologiques en jeu qui contribueront, in fine, à mieux prédire ces effets et risques ainsi qu'à réduire les possibles séquelles des radiothérapies. Plus généralement, ses résultats pourront aussi contribuer à mieux comprendre les effets des rayonnements sur le vivant. Le principe est de relier, étape par étape, les événements initiaux du transfert de l’énergie du rayonnement dans les molécules aux effets biologiques les plus tardifs. ROSIRIS est un programme pluridisciplinaire combinant de nombreuses compétences (radiobiologie, radiopathologie, dosimétrie physique, bio-informatique, physique des particules, modélisation et programmation, bio-mathématiques, imagerie…).
Contexte
Le cancer demeure la première cause de mortalité en Europe avec 4,2 millions de nouveaux cas en 2018 (source IARC) avec un impact économique conséquent. Le plan Cancer élaboré par l’INCa propose une stratégie nationale de recherche pour faire progresser la prise en charge du cancer. Dix-sept objectifs opérationnels ont été définis pour la période 2014-2019 et concernent pour beaucoup la radiothérapie. Assurer des prises en charge globales et personnalisées (objectif 7), réduire les risques de séquelles et de second cancer (objectif 8) doivent contribuer à la « préservation de la continuité et la qualité de vie » des patients.
La radiothérapie consiste à délivrer des doses importantes de rayonnements ionisants à la tumeur tout en réduisant autant que possible la dose délivrée aux tissus sains présents dans le champ d'irradiation. Or, les réactions se produisant dans les tissus sains compris dans les faisceaux d’irradiation peuvent entraîner des complications. Si certains de ces effets disparaissent spontanément, d'autres peuvent affecter de manière importante et durable la qualité de vie des patients.
La toxicité radio-induite aux tissus sains est de fait un facteur limitant le niveau de dose qui peut être délivré à la tumeur. En outre, le plateau technique de la radiothérapie s’est profondément complexifié ces dernières années avec l’apparition de nouvelles technologies (stéréotaxie, utilisation d'ions, débits de dose élevés, etc.) à même de réaliser des irradiations sophistiquées. Les évolutions technologiques apportent de nouveaux bénéfices aux patients mais mettent à jour de nouveaux risques qu'il convient de mieux connaitre pour utiliser de façon maîtrisée l'arsenal existant.
L’IRSN a fait le choix ces dernières années de s’intéresser plus particulièrement aux effets secondaires des radiothérapies abdomino-pelviennes et thoraciques. Ces « effets secondaires » ont été décrits récemment comme de véritables pathologies, la« Pelvic Radiation Disease » ou encore la fibrose pulmonaire radio-induite L’IRSN travaille en étroite collaboration avec l’Institut Gustave Roussy sur cet objectif partagé.
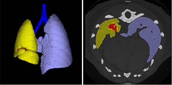
Figure : Suivi des lésions pulmonaires chez la souris par imagerie Micro-CT haute résolution après une irradiation millimétrique avec le SARRP en conditions stéréotaxiques © IRSN
L’IRSN a fait le choix ces dernières années de s’intéresser plus particulièrement aux effets secondaires des radiothérapies abdomino-pelviennes et thoraciques. Ces « effets secondaires » ont été décrits récemment comme de véritables pathologies, la« Pelvic Radiation Disease » ou encore la fibrose pulmonaire radio-induite L’IRSN travaille en étroite collaboration avec l’Institut Gustave Roussy sur cet objectif partagé.
La réponse tissulaire à une exposition aux rayonnements ionisants est complexe et les mécanismes d’évolution des lésions font intervenir de nombreux acteurs moléculaires qui conduisent finalement aux lésions chroniques. L’objectif principal du programme de recherche expérimentale ROSIRIS est de comprendre les mécanismes physiques et biologiques qui sont déclenchés à la suite d'une irradiation, depuis le transfert d'énergie du rayonnement aux molécules jusqu'aux effets biologiques tardifs.
À terme, ce programme devrait permettre d’améliorer la prédiction d’apparition de complications des tissus sains, d’optimiser et potentiellement de personnaliser les protocoles de radiothérapie, et d’ouvrir de nouvelles pistes de traitement à visée prophylactique ou curative. Les effets étudiés dans le cadre de ce programme sont les effets déterministes sévères.
Image de gauche : Représentation d'un noyau de cellule utilisée pour la simulation des dépôts d'énergie dans l'ADN. Les trois vues représentent les trois échelles : en haut à droite, les molécules d'ADN dans les voxels (structure intermédiaire fictive, qui est un volume cubique de 50 nm de côté contenant un fragment de fibre de chromatine constituée de 23 nucléosomes) ; en haut à gauche, les cubes de voxels ; en bas, le noyau de la cellule rempli des chromosomes constitués à partir des voxels. Les bases ainsi que chaque sucre et chaque phosphate y sont représentés par des volumes sphériques dont l'assemblage crée les nucléotides, puis la double hélice de l'ADN qui s'enroule autour d'une histone pour modéliser un nucléosome ; et enfin, la chaine de nucléosomes constituant la chromatine, matière première de l'ADN. © IRSN / www.nature.com/Scientific Reports - Image de droite : 5 conformations de voxels ont été créées permettant l'assemblage flexible de la fibre de chromatine à l'intérieur du noyau (de manière à pouvoir faire des boucles de chromatine, par exemple) © IRSN / www.nature.com/Scientific Reports
Axes de recherche
La compréhension de la pathogenèse des lésions radio-induites aux tissus sains a conduit les équipes de l'Institut à identifier l'endothélium vasculaire comme un élément central de la réponse des tissus à l’irradiation. La cellule endothéliale, en contact direct avec le sang, joue un rôle essentiel dans le maintien de l’homéostasie vasculaire et dans la réponse tissulaire suite à un stress comme l’irradiation. Elle jouerait un rôle-clef dans l’évolution des lésions radio-induites en perdant cette capacité de réguler le trafic des cellules inflammatoires et immunitaires entre le compartiment sanguin et les tissus irradiés, contribuant à un défaut de cicatrisation et une évolution progressive vers la fibrose. Le choix a été fait dans le cadre du programme ROSIRIS de se focaliser sur ce compartiment cellulaire.
Le programme s’articule autour de trois axes :
- le premier axe vise à étudier les corrélations entre la répartition spatiale des dépôts d’énergie par le rayonnement à l’échelle nanométrique et l'identification d'événements biologiques initiaux induits par ce rayonnement ;
- le deuxième axe a pour objectif la compréhension de la dynamique des mécanismes physiopathologiques – moléculaires principalement - dans la réponse cellulaire à l'irradiation. Il se concentre sur la réponse de l’endothélium vasculaire
- le troisième axe vise à valider expérimentalement in vivo les hypothèses physiopathologiques et les acteurs moléculaires clefs identifiés dans le développement des effets secondaires. Il se concentre essentiellement sur les fibroses induites par des radiothérapies abdomino-pelviennes et thoraciques.
Figure . Échelle de temps des effets des rayonnements ionisants depuis le moment de l'exposition. © IRSN
Les 3 axes du programme :
-
Cet axe du programme ROSIRIS vise à caractériser le lien causal entre la nature du rayonnement ionisant et les événements biologiques qui se produisent dans la cellule au moment de l'irradiation, ceci grâce à une approche pluridisciplinaire (physique, biologie, informatique...). Il s'agit de développer une modélisation in silico permettant de prédire l’induction de ces effets biologiques initiaux sur la base des caractéristiques physiques du rayonnement ionisant utilisé et des effets physico-chimiques connus sur l'ADN. Le code de simulation Geant4-DNA et le logiciel DNA-Fabric développé à l’IRSN sont notamment utilisés dans ce projet. Parmi les effets biologiques simulés, l’IRSN se concentre sur la quantification des cassures double brin, qui ont par ailleurs l'avantage d'être également visualisables à l’échelle du noyau cellulaire grâce à la protéine H2Ax qui « s’active » à proximité de ces cassures.
L'objectif est d’appréhender les étapes et les paramètres-clefs qui influent sur la nature des premiers effets radio-induits détectés au niveau cellulaire et sur leurs probabilités d’apparition en fonction de la nature du rayonnement, à partir des observations effectuées à l’échelle moléculaire (ADN). Les données permettant de valider les différentes étapes de la modélisation sont obtenues notamment grâce à la littérature mais aussi à diverses collaborations (projet international BioQuart, collaboration Geant4-DNA, etc.). Le microfaisceau MIRCOM mis en service en 2018 permet d’obtenir de nouvelles données pour valider les modélisations obtenues avec des ions accélérés. En parallèle, le développement de la simulation pour des rayonnements gamma utilise principalement des données obtenues avec les irradiateurs SARPP et ALPHÉE (Linac médical) de l’IRSN.
-
Pour comprendre la dynamique des événements moléculaires impliqués dans la réponse de l'endothélium aux rayonnements ionisants, les chercheurs de l’IRSN ont adopté une approche récente considérant la biologie des systèmes. Ce type d'approche consiste à intégrer différents niveaux d'information (modélisations, simulations, théories, expérimentations...) afin de déterminer les interactions des différents « composants » (cellules, gènes, protéines, molécules, etc.) d'un système biologique et le fonctionnement de ce dernier dans son ensemble. La biologie des systèmes s'appuie sur les « omiques » (génomique, protéomique, métabolomique, transcriptomique), les mathématiques et la bio-informatique.
L’objectif est de décrypter les mécanismes moléculaires du compartiment endothélial en réponse à l’irradiation et de modéliser cette réponse dans le temps.
Il s’agit de faire évoluer le concept de l’efficacité biologique relative (EBR). Ainsi une partie des recherches vise à acquérir à l'aide des deux irradiateurs disponibles à l'IRSN, le SARRP et l’accélérateur médical ALPHÉE, différentes mesures biologiques sur les cellules endothéliales : survie clonogénique, sénescence cellulaire, progression dans le cycle cellulaire, apoptose, empreinte transcriptomique, interactions avec les cellules circulantes, dommages initiaux à l'ADN… Ces mesures matérialisent une atteinte ou une dysfonction de l'endothélium suite à une exposition aux rayonnements ionisants. Elles sont acquises pour des conditions d'irradiation parfaitement définies (i.e. situation de référence). L’objectif est d’obtenir des relations dose-effet pour chaque paramètre biologique considéré dans la situation de référence.
Dans un deuxième temps, l'IRSN vise à mettre en place un modèle in silico prédictif des conséquences moléculaires et cellulaires de tous types d’irradiation. Ce modèle doit intégrer l'ensemble des mesures biologiques acquises précédemment, codées mathématiquement. Les chercheurs étudient in vitro l'impact de la variation des paramètres d'exposition sur les mesures biologiques en les comparant à la situation de référence. Le but est de définir un EBR multiparamétrique (voir encadré ci-dessous sur l'EBR).
-
L'objectif est de valider in vivo les hypothèses formulées à partir de l’approche de « Modélisation de la réponse moléculaire globale des cellules endothéliales à l'irradiation » (axe 2) et de valider in vivo la robustesse du modèle mathématique prédictif que les équipes cherchent à établir dans l'axe 2 du programme. Pour cela, des modèles précliniques sont utilisés dans des situations d’irradiation complexes et variables en termes de dose, de volume ou d’organe ciblés, par exemple des irradiations localisées du tube digestif (organisation tissulaire en « série ») et du poumon (organisation tissulaire en « parallèle »).
Des modèles de souris transgéniques sont utilisés pour étudier à l'échelle moléculaire le rôle du compartiment vasculaire dans la progression des lésions tissulaires, notamment de la délétion spécifique dans l'endothélium de certains acteurs clefs. Il s'agit en partie de protéines identifiées dans l'axe 2 du programme comme étant impliquées dans la réponse immunologique de l'endothélium qui mène à la survenue de fibroses radio-induites. Ces modèles expérimentaux permettent de d’élucider les principaux acteurs et leurs fonctions associées impliqués dans la progression des lésions, des effets précoces jusqu’aux effets tardifs.
Figure : Mise en évidence des modifications de la glycosylation par l'irradiation. Des cellules endothéliales humaines saines ont été cultivées in vitro après une irradiation (20 Gy) ou non (0 Gy). Les cellules ont été ensuite incubées à différents temps en présence d'une protéine (ici une lectine, la concanavaline A, Con A) fluorescente (en vert). Cette lectine se lie spécifiquement à des radicaux glycosylés (N-glycanes hautement mannosylés) liés aux protéines membranaires des cellules endothéliales et présentés à la surface externe des cellules, et qui ont un rôle dans le transfert des cellules immunitaires lors de l'inflammation. Les noyaux des cellules apparaissent en bleu après une coloration spécifique par le DAPI. Les photos illustrent l'augmentation de fluorescence induite par l'irradiation en comparaison aux cellules qui n'ont pas été irradiées. © Scientific Reports (2017) 7:5290.
Les perspectives
La perspective générale du programme ROSIRIS reste de continuer à optimiser la simulation des dépôts d’énergie à l’échelle nanométrique afin de les relier aux variables biologiques observées (dommages à l’ADN, senescence). Mais les résultats déjà obtenus font aussi émerger la nécessité de faire évoluer le concept d’EBR et d’établir des modèles prédictifs de risques plus robustes que ceux existants. Au niveau biologique, ROSIRIS vise à présent à caractériser finement les processus dynamiques moléculaires et cellulaires de la dysfonction vasculaire après irradiation et à étudier l’interface endothélium vasculaire /réponse inflammatoire dans la progression des lésions radiques aux tissus sains.
Faire évoluer la mesure de l'Efficacité biologique relative (EBR)
À ce jour, les évaluations de risque en radioprotection reposent sur des mesures de l'Efficacité Biologique Relative (EBR). Cette grandeur se définie comme le rapport des doses de deux rayonnements ionisants - ou de deux modalités d'irradiation – produisant le même effet biologique. Cette grandeur est en particulier utilisée dans le domaine médical pour prédire les effets biologiques des rayonnements et des protocoles d'irradiation, aussi bien pour les tissus cancéreux que pour les tissus sains. Les mesures d'EBR sont presque uniquement déterminées en fonction de la mortalité cellulaire ou de l'incapacité définitive d'une cellule à se diviser.
Elles sont réalisées grâce au « test de survie clonogénique » (calcul de survie de lignées de cellules irradiées in vitro), un standard en radiobiologie et qui sert de base au modèle mathématique de référence (le modèle linéaire-quadratique) pour la mesure des EBR. Or, ce modèle encore directement appliqué à des situations cliniques pour la prédiction du risque, ne répond plus forcément aux nouvelles pratiques de radiothérapie, notamment en ce qui concerne les débits de dose de plus en plus élevés et les fractionnements de dose de moins en moins étalés. En outre, seulement la dose absorbée est utilisée lors de ces mesures pour qualifier le rayonnement utilisé. L'un des objectifs finaux du projet ROSIRIS est de développer des mesures d'EBR multiparamétriques pour prédire de manière plus réaliste le risque associé à l'utilisation des rayonnements ionisants dans le cadre des nouvelles techniques et pratiques utilisées en radiothérapie (fortes doses par fraction, fort débit de dose, irradiation en conditions stéréotaxiques…) et de les accompagner d'une caractérisation micro et nano-dosimétrique de l'irradiation.
Evaluation de ROSIRIS
Les experts évaluateurs ont été mandatés par le Directeur scientifique de l’IRSN pour exécuter cette évaluation selon les six critères d’évaluation des entités de recherche du HCERES.
Les installations IRSN utilisées
Collaborations et partenaires
- Collaboration Geant4-DNA
- EURADOS WG6
- Institut Gustave Roussy U1030
Les laboratoires IRSN impliqués
Les laboratoires : LDRI - LMDN - LRMed - LRAcc - Groupe de support à la recherche et à l'éthique animale (GSEA)
LDRI
Le Laboratoire de dosimétrie des rayonnements ionisants a pour thématique principale de recherche, l’évaluation dosimétrique en cas d’exposition externe
LMDN
Les activités du LMDN concernent principalement la métrologie et la spectrométrie des champs de rayonnements neutroniques...
LRMed
L'objectif est d’acquérir de nouvelles connaissances sur les mécanismes biologiques d’initiation et de progression des lésions localisées sur les tissus sains résultant d’expositions aux rayonnements ionisants, à des doses modérées et fortes, utilisées dans le domaine médical à des fins diagnostiques ou thérapeutiques (e.g radiothérapie) pour mieux prédire les risques de complications, mieux les comprendre, les prévenir et les traiter.
LRAcc
Le laboratoire LRAcc mène des recherches en radiobiologie, en dosimétrie biologique, en radiopathologie et en médecine régénérative.
Publications
Les publications issues du projet :
- Lire le focus d'Aktis n° 31 (printemps 2019)
- Lire le focus d'Aktis n° 29 (printemps-été 2018)
- Lire le focus d'Aktis n° 20 (avril-juin 2015)
- Lire l'article d'Aktis n° 15 (janvier-mars 2014)
- Lire l'article d'Aktis n° 7 (janvier-mars 2012)
En savoir plus
-
Contact